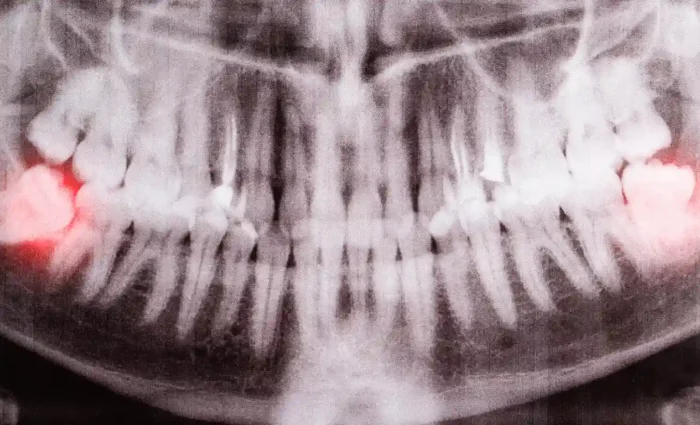
Why Experts Now Say Not to Remove Your Wisdom Teeth
Medically Reviewed By Dr. Mert Albayrak, DDS Oral and Maxillofacial Surgeon Most dentists removed wisdom teeth as a preventive strategy for years. Early removal was thought to minimise congestion and infection. As dental science advances, specialists are questioning this standard practice. More specialists are arguing for a conservative approach, indicating that not everyone needs wisdom […]









